Contatos
Menu
Tratamentos

Reabilitação Estética e Oclusal

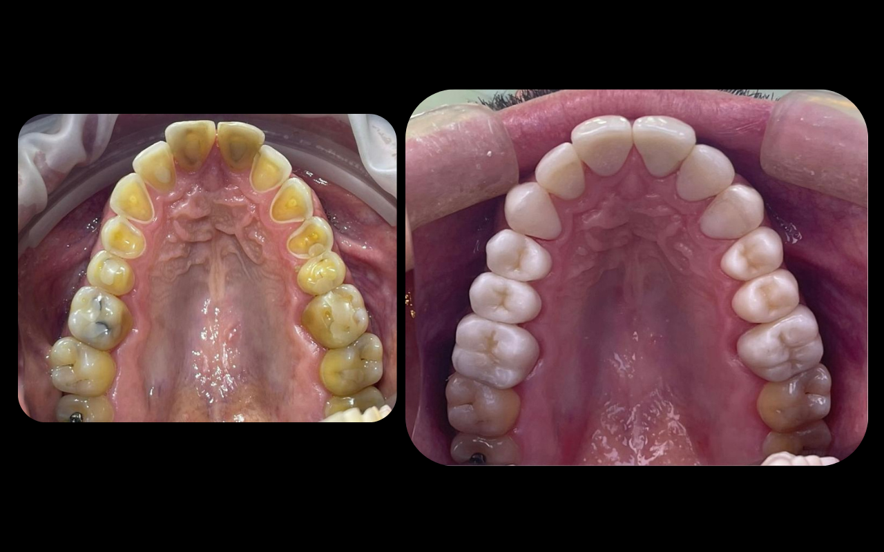
Tratamento restaurador que recupera o tamanho/altura dos dentes desgastados, melhorando a estética facial e a função mastigatória com resultados duradouros.

Recuperação da DVO Harmonia facial Função mastigatória

O que é Reabilitação Estética e Oclusal?

É um tratamento restaurador que tem por finalidade recuperar o tamanho/altura dos dentes que sofreram desgaste ao longo dos anos. Os dentes se desgastam por vários motivos como: função, para função, restauração, este desgaste gera uma redução da Dvo (dimensão vertical de oclusão) que pode causar vários problemas como fraturas e desprendimento das restaurações, inclinações dentárias, perda de guias, espaço entre os dentes, impactação alimentar crônica, desgaste mais severo, dor articular, inversão da Curva labial e hipertrofia do masseter, envelhecimento do terço inferior da face.
As várias formas de tratamento podem envolver a ortodontia, cirurgia, prótese, implantodontia e dentística, com objetivo de recuperar o volume/altura dos dentes melhorando a estética e a função.
Quanto antes a Dvo for recuperada, menores serão os danos causados e menos invasivo será o tratamento).

Importância do tratamento precoce

Quanto antes a DVO (Dimensão Vertical de Oclusão) for recuperada, menores serão os danos causados e menos invasivo será o tratamento.

Reabilitação Estética e Oclusal realizada pela Dra. Fabiola Roggia em Porto Alegre
Reabilitação Estética e Oclusal realizada pela Dra. Fabiola Roggia em Porto Alegre
Reabilitação Estética e Oclusal realizada pela Dra. Fabiola Roggia em Porto Alegre

Causas do desgaste dental

  • Bruxismo: Apertamento ou ranger dos dentes, geralmente durante o sono
  • Atrição: Desgaste natural pelo contato entre os dentes
  • Erosão: Perda de estrutura dental por ácidos (refluxo, bebidas ácidas, etc.)
  • Abrasão: Desgaste por fatores externos como escovação vigorosa ou hábitos alimentares
  • Restaurações inadequadas: Materiais ou técnicas que não respeitam a oclusão

Benefícios

  • Recuperação da harmonia facial
  • Melhora da função mastigatória
  • Alívio de dores na articulação temporomandibular (ATM)
  • Redução da hipertrofia muscular
  • Melhora da fonação (articulação das palavras)
  • Aumento da autoestima e qualidade de vida
  • Prevenção de problemas futuros mais complexos
  • Resultados naturais e duradouros
Consultório Odontologico Dra. Fabíola Roggia - Porto Alegre pertinho do HPS.

Agende sua avaliação

Recupere a harmonia do seu sorriso com tratamento especializado.

Agendar Falar no WhatsApp
Av. Osvaldo Aranha, 1022 • Sala 809 • Bom Fim • Porto Alegre/RS
(51) 99952-5853
Preferências de cookies